
世界レベルの美しさと技術で、あなたの笑顔をデザインする釜山「デジタルアート歯科」
デジタルアート歯科で、最高の笑顔を手に入れませんか。
釜山の中心、「西面メディカルストリート」で20年以上の歴史を重ね、約4万人近くの患者様一人ひとりと向き合ってきた、デジタルアート歯科です。
約500坪の広々とした院内で、80名を超える専門スタッフが、あなたのためのチームとなってお迎えします。私たちが目指すのは、息をのむほど美しい、というだけでなく、心からご満足いただける自然な口元です。それは、機能性と審美性を高いレベルで両立させる、いわば「オーダーメイドの輝き」。
単なる治療ではない、一人ひとりの魅力を最大限に引き出す技術が、ここにあります。
あなたの人生がもっと輝く笑顔を、私たちと一緒に見つけませんか。


デジタルアート歯科が選ばれる理由
1. 大学病院レベルの専門医によるチーム医療
大学病院出身の歯科保存科・歯周病科・統合歯科専門医など、保健福祉部認定の歯科専門医7名が常駐。各分野の専門医が連携する診療システムを導入しています。虫歯治療から高度なインプラントまで、各分野の専門家が連携し、複雑な症例にも対応できる包括的なチーム医療をご提供します。大学病院と同等の専門的な治療を、もっと身近に、安心して受けていただけます。
2.「歯を残す」ことを第一に考えた診療
特に歯周治療においては、「歯を抜く」という選択肢の前に、「いかに歯を残せるか」を徹底的に追求します。骨移植や専門的な歯周ケアを通じて、たとえ他院で抜歯を勧められたケースでも、患者様ご自身の歯を一本でも多く守り、長く健康に保てるよう全力を尽くします。
3. 最先端技術による「院内ワンストップ診療」
診断から精密な補綴物の製作まで、全てのプロセスが院内で完結します。世界レベルの歯科技工士チームが院内に常駐しているため、外部に製作を依頼する必要がありません。これにより、修正や調整が迅速に行え、治療期間を大幅に短縮。短期集中治療をご希望の海外在住の患者様にも最適な環境です。
4. 日本人患者様も安心の完全サポート体制
日本語の対応 ご予約からカウンセリング、治療、アフターケアまで、すべての段階で日本語でのコミュニケーションが可能です。言葉の心配なく、安心して治療に専念いただけます。
帰国後も安心の保証制度 当院のラミネート「プラチネート」 には5年間の保証が付いています。万が一問題が発生した場合は、まずLINE等でご相談いただき、必要に応じて責任を持った対応策をご提案します。
プライベートで快適な空間 1階から3階まで診療科目ごとにフロアを分け、プライベートが確保された相談室やVIPラウンジを完備。リラックスできる環境で、最高の治療体験をお約束します。
5. 世界が認める審美歯科技術
当院の審美治療は、韓国ミスコリアやアナウンサー、モデルをはじめ、美を追求する多くの著名人から選ばれています。
- 歯を削らないラミネート「プラチネート」 自然な歯を最大限に守るため、歯を削らない・または最小限の削除で行うことを原則としています。歯の保存を専門とする歯科保存科の専門医が、歯の健康まで考慮した、精巧で美しい仕上がりを実現します。
- 世界が認める歯科技工士、キム・ソンギュ室長。 彼が1枚のラミネートに込めるのは、単なるセラミックではなく、患者様の人生を変えるほどの情熱と技術です。ミリ単位以下の調整を可能にする彼の手仕事が、誰にも真似できない自然な輝きを生み出します。
- 1日で効果を実感「オフィス・ホワイトニング」 韓国の食品医薬処で認可され、多くの臨床で効果が検証されているオステム社(Osstem)の専門家ホワイトニング剤と、効果を最大化する「Blueライトレーザー」を使用。施術当日に、輝くような白い歯を実感いただけます。
6. 他院で断られた難症例にも対応するインプラント
長年入れ歯を使用していた方、持病をお持ちの方、他院で「インプラントは不可能」と診断された方も、ぜひ一度ご相談ください。
- 最小限の負担で機能回復「All-on-X」 骨が最も頑丈な位置を見つけ出し、わずか4~6本のインプラントで全ての歯の機能を回復させる「最小植立全体インプラント(All-on-X)」。
手術の負担や痛み、回復期間を大幅に軽減できるため、ご高齢の方でも安心して治療を受けていただけます。失われた歯茎のラインまで美しく再現し、若々しい口元を取り戻します。
「痛み」への配慮: 当院では、表面麻酔や極細の注射針を使用し、痛みを最小限に抑える「無痛治療」に取り組んでいます。治療への不安や恐怖心に寄り添い、安心して施術を受けていただけるよう最大限配慮いたします。
主な施術メニュー
| オフィス・ホワイトニング 1回(30分照射 X 3クール) 短時間で見違えるほどの白さを手に入れませんか。 価格 300,000w(税抜) ★スケーリング追加 60,000w | ラミネート:プラチネート 極薄0.0008mmの審美歯科治療、プラチネート。まるで本物の歯のような、自然で美しい仕上がりをお約束します。 価格 (1本)900,000w(税抜) | インプラント インプラント (ストローマン) 2,000,000w インプラント (DIO UV) 1,300,000w |




治療をご検討中の方へ
海外での治療への不安を解消するため、当院では費用や期間の目安を明確に提示しています。
費用の目安
- 【モデルケース】 オフィス・ホワイトニング:約3万円~
- 【モデルケース】 ラミネート「プラチネート」:約9万9千円 1本あたり
- 【モデルケース】 インプラント:約13万円~ 1本あたり
※詳細な料金はお口の状態により異なります。
治療期間・滞在日数の目安
- 歯の美白: 最短1回のご来院、約1時間半の病院ステイで完了可能です。
- ラミネート: 最短2回のご来院、約3日間の釜山滞在で完了可能です。
- 「私の場合はどうなる?」「費用はどれくらい?」まずは、LINEで気軽にご相談ください。
- 歯の写真を送っての簡易カウンセリングも大変好評です。
写真の撮り方(サンプル)


ドクター紹介
【シン·ジュンヒョク (신준혁) 代表院長】
歯科専門医
学歴・役職
- 釜山大学校 歯学部・大学院 外来教授を歴任
- 大韓デジタル歯科学会 理事
- 大韓歯科移植インプラント学会 理事
- 大韓顎関節咬合学会 理事
- 大韓審美歯科学会 元理事
- NAG (Natural Asthetic Group) メンバー
- 株式会社DIOインプラント研究所 所長、代表諮問医
- 3Shape ワールドアドバイザー 創立メンバー(アジア初)
- デンマーク・コペンハーゲンに本社を置く世界的なCAD/CAM企業
- 大韓審美歯科学会 認定医教育 主任理事
- 大韓審美歯科学会 認定医マスター
学術誌への掲載・著書
- 著書・主要掲載
- KJCD (韓国歯科界): 2014年
- QDT (日本): 2015年~2016年
- QDT (ワールドイヤー・ブック): 2018年(韓国初)
- QDT (ドイツ): 2019年
- 大韓審美歯科学会ジャーナルに多数掲載
- 国内外の多数の学会誌、新聞などにコラム・臨床演題を掲載
講演・教育活動
- 国内外の多数の学会で演者を務め、歯科医師への臨床教育活動を行う。
- 主な講演実績のある学会:
- 北米: 米国歯科審美歯科学会、米国歯科補綴学会、米国デジタル歯科学会、カナダ審美歯科学会、メキシコ審美歯科学会
- ヨーロッパ: スイス審美歯科学会(1000club 韓国初)、ドイツ審美歯科学会、イタリア審美歯科学会、スペイン審美歯科学会、トルコ審美歯科学会、ヨーロッパ審美歯科学会
- アジア: 日本審美歯科学会、日本デジタル歯科学会、香港審美歯科学会、台湾審美歯科学会、中国審美歯科学会、アジア審美歯科学会、中東審美歯科学会
- その他: オーストラリア審美歯科学会、南アフリカ審美歯科学会
- 世界規模: 世界審美歯科学会、世界デジタル歯科学会
- 国内外の多数のインプラントメーカーで臨床諮問医を務める。

日本の皆様へ、代表院長よりご挨拶
「あなたの笑顔に、自信と輝きを。」
日本の皆様、こんにちは。デジタルアート歯科 総院長のシン・ジュンヒョクです。
私たちが目指すのは、単に歯の治療を行うことではなく、「自信を持って心から笑える、輝く未来」をお届けすることです。
歯の美しさは、QOL(生活の質)を大きく左右します。口元にコンプレックスがあると、人前で思い切り笑うことをためらってしまい、知らず知らずのうちに人生の可能性を狭めてしまうことがあるのです。
当院は、その一歩を踏み出す皆様を全力でサポートするため、最新の技術と確かな経験に基づいた審美治療を提供しています。「もっと美しくなりたい」「もっと自信を持ちたい」という皆様の想いを真摯に受け止め、一人ひとりのライフスタイルやご要望に合わせた最適なプランをご提案いたします。
私たちは、あなたの人生がより豊かで輝かしいものとなるよう、最善を尽くすことをお約束いたします。


デジタルアート歯科の審美歯科治療の核となる歯科技工士チームと、リーダーキム・ソンギュ室長の紹介

世界トップクラスの技術を誇る、審美補綴セラミスト、キム・ソンギュ室長のご紹介
世界最高峰の歯科技工士グループ「Atelier Dentaire International」において、韓国人初・唯一の正会員として選出されたキム・ソンギュ室長。彼の仕事は、単なる「歯科技工」ではありません。それは、患者様一人ひとりの人生を、より輝かせるための「芸術」です。
哲学:「技術」ではなく「解釈」の領域
「誰かの歯を設計するということは、その人の顔と印象を新たに定義することです。」
キム室長は、歯の製作を「技術」ではなく「解釈」の領域だと語ります。機械は平均値を作ることはできますが、人の顔に平均はありません。一つひとつの歯が持つ表情、会話や笑い方の癖、視線の流れまでを考慮し、その人の顔に調和する、世界に一つだけの歯をデザインします。
神業:機械では不可能な「手仕事」の領域
彼の代名詞であるラミネート「プラチネート」は、構造ではなく「感情の形象」です。
プラチナ箔の上に、髪の毛よりも薄いセラミックを数十回にわたって一層一層積み重ねていく。この全て手作業による技法は、機械(CAD/CAM)では決して表現できない、天然歯のような透明度と、光の反射が織りなす繊細なディテールを可能にします。
「機械は正確です。しかし、精密さは感覚の領域です。」
キム室長の指先から生み出されるのは、単なるセラミックの補綴物ではなく、機械では作れない「存在の表情」そのものなのです。
キム・ソンギュ
主な経歴
Atelier Dentaire International | アジア人初・韓国人唯一の正会員
元 ソウル峨山(アサン)病院 中央技工室 勤務
Ivoclar Vivadent社 Key Opinion Leader
Art-on Dental Artist Center CEO
日本・東京 Creation Master Course | 1年課程修了
日本・京都 Nishimura Juku | 形態学・咬合学 1年課程修了
2022年 大韓民国 International Dental Show | 講演および国際大会 金賞受賞
その他、国内外の学会での講演、受賞歴多数
Before&After
オリジナルラミネート「プラチネート」

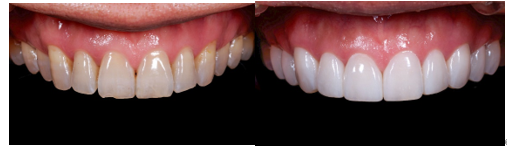
【治療ケース1 プラチネート10個】

【担当医からのポイント】 この患者様は、横顔(Eライン)で際立つ歯列の乱れを長年気にされており、それが日常的なコンプレックスとなっていました。不調和な歯の形とトーンの暗さが大きな悩みで、笑う際に口元を手で覆う癖がおありでした。
当院では、単に歯を白くするだけでなく、患者様の肌色やリップライン、全体の雰囲気に溶け込む、極めて自然な仕上がりを目指しました。
その実現のため、作製する補綴物の透過性(透明感)、輝度(明るさ)、そして形態を、1ミリの狂いもなく緻密に調整し、作り込んでいきました。
特に前歯の治療においては、顔の中心線とのバランスが肝心です。正面の見た目だけでなく、側方から見た際の立体感や、自然な曲線美までもデザインに落とし込みました。歯の並びと長さを細やかに整え、調和の取れた美しいスマイルラインを形成しました。人工的で不自然な印象は徹底的に避け、品格のある、均整の取れた口元へと導きました。
治療後は、自然な明るい笑顔を取り戻され、「以前より格段に自信を持って笑えるようになった」と、大変ご満足いただけました。
【治療ケース2 プラチネート10個】

【担当医からのポイント】 この患者様は、ご年齢を重ねる中で歯の先端が欠け、全体的に摩耗が進んでいる状態でした。それに伴い、歯全体のトーンが暗く見えることを気にされ、ご来院されました。
見た目の問題に加え、「歯が次第に弱くなっている」という感覚から、機能面についてもご心配されていらっしゃいました。
精密な診査の結果、歯を大きく削ることなく審美性の改善が十分に可能と判断し、歯質を温存する(削らない)低侵襲な方法で治療を進めました。この「無削除(削らない)アプローチ」は、天然の歯を最大限に守りながら、審美性と機能性を両立できる点が最大の特長です。
患者様の顔の輪郭やスマイルラインに合わせ、透明感のあるカラーと自然な形態でデザインを行いました。また、弱くなってしまった歯を保護できるよう、耐久性を考慮したカスタムメイドのプラチネートを装着いたしました。
その結果、自然な明るさと、整然とした前歯のラインを取り戻すことができました。患者様からは、審美的なご満足はもちろんのこと、「歯の保護効果も実感できる」と、大変ご満足の声をいただいております。
| メニュー名 | 詳細 | 料金(税込) |
| ラミネートべニア | 「プラチネート」 | ・Tax Refund 病院適用:990,000ウォン→900,000ウォン ・Tax Refund 空港適用:990,000ウォン→922,000ウォン ※上記の2通りのTax Refundのうち1つを選択出来ます。 |
|---|
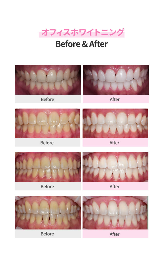
オフィス・ホワイトニング

【担当医からのポイント】 長年のコーヒーや食事による着色と、全体的なくすみを気にされてご来院されました。当院では、単に歯を白くするだけでなく、その方が元々持つ歯の透明感を活かし、清潔感のある自然な明るさに仕上げることを重視しています。
まず歯や歯茎が健康な状態かしっかりと診断し、安全に施術できることを確認。一人ひとりの歯質に合わせて薬剤の浸透と光の照射時間をコントロールし、歯への負担を最小限に抑えながら効果を最大化しました。結果、とても自然な白さの上品で明るい口元を取り戻すことができました。
【歯科の「シェードガイド」でチェックしましょう】

歯のホワイトニングは、歯科医院に来院され、歯の色をチェックするシェードガイドでご自身の歯の色を
正確に確認してから施術することをお勧めします。
| メニュー名 | 詳細 | 料金(税込) |
| ホワイトニング 1Dayコース(90分) | ホワイトニング光30分×3回 | 330,000ウォン ※スケーリングが必要な場合、別途6万ウォンの追加費用が発生致します。 |
|---|
ホワイトニングとスケーリングを同時にされる方に限り、
<ホワイトニング歯磨き粉、歯ブラシ、デンタルフロス、携帯用マウスウォッシュのセット>を
プレゼントいたします!
インプラント



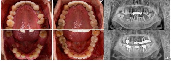
【治療ケース】

【担当医からのポイント】この 患者様は来院時、複数の部位に虫歯が進行しており、歯がたくさん抜けている状態でしたので、全体の歯並びと噛み合わせが大きく乱れていました。歯が抜けたまま時間が経過し、隣の歯が傾いたり、噛み合わせが崩れる変化が現れていました。
診断の結果、歯根だけが残っている、または虫歯がひどく残すのが難しい歯、歯周病が進行した歯、突き出過ぎて噛み合わせの妨げになっている歯は整理し、インプラントによる治療方針を立てました。治療は部位ごとの状態に応じて分けて進め、左側は歯茎が回復した後にインプラントを埋入する方式(遅延埋入)、右側は抜歯と同時にインプラントを埋入する方式(即時埋入)を適用しました。
1次手術でインプラントが顎の骨に安定的に定着し、ヒーリングアバットメントをすぐに連結することができ、追加の手術なしに一度で完了することができました。現在はインプラントが良好に維持されるよう、定期的に検診を続けながら管理中です。
| メニュー名 | 詳細 | 料金(税込) |
| インプラント | ・1,300,000ウォン ・ 2,000,000ウォン |
|---|
【インプラント治療期間および施術過程】
- 1次手術
- 服用中の薬剤リストの確認が必要(入国前に事前確認可能)
- 調整が必要な薬剤がある場合、調整後で日程を調整する必要がある
- カウンセリング後、1次診療まで7〜10日間の滞在が必要(途中で日本に戻られても構いません)
- 遅延埋入の場合は、およそ1〜3ヶ月後に埋入手術のために7〜10日間の滞在が必要
- 2次手術
- 状態によって省略可能
- 部位によって1〜4日間かかる
- 縫合糸除去が必要な場合は、1週間後にもう一度来院
- 3次手術
- 2回訪問の場合、2週間かかる
- 3回訪問の場合、1〜2回は3日間滞在し、2週間後にもう1回訪問
全顎インプラント
- 1次手術
- 服用中の薬剤リストの確認が必要(入国前に事前確認可能)
- 調整が必要な薬剤がある場合、調整後で日程を調整する必要がある
- カウンセリング後、1次診療まで7〜10日間の滞在が必要(途中で日本に戻られても構いません)
- 遅延埋入の場合は、およそ1〜3ヶ月後に埋入手術のために7〜10日間の滞在が必要
- 仮歯が不便な場合は、非定期的な来院が必要
- 2次手術
- 状態によって省略可能
- 部位によって1〜4日間かかる
- 縫合糸除去が必要な場合は、1週間後にもう一度来院
- 3次手術
- 5回通院、3回訪問
- 1回目の訪問時に3回通院(5〜6日間かかる):型取り、高さチェック、歯の形確認
- 2回目の訪問時に1回通院:フレームチェック(適合および形確認)
- 3回目の訪問時に1回通院:完成
- 以後、定期検診は必須(噛み合わせの安定および歯槽骨の安定化を持続的に観察する必要がある)
診療時間
| 曜日 | 診療時間 | 昼休み |
| 月~金 | 10:00 – 18:00 | 13:00 – 14:00 |
| 土 | 10:00 – 14:00 | なし |
定休日:毎週の日曜日、韓国の祝日
当院での診療費のお支払いは、現金(ウォン)もしくはクレジットカードでのお支払いとなります。
| 治療の種類 | 料金 | 備考 |
| プラチネート | 990,000ウォン | 1個当たり |
| プラチネート (Tax Refund 病院適用時) | 900,000ウォン | 1個当たり |
| オフィスホワイトニング | 330,000ウォン | 3サイクル |
| オフィスホワイトニング (Tax Refund 病院適用時) | 300,000ウォン | 3サイクル |
| スケーリング | 60,000ウォン | |
| 前歯部の補綴(ほてつ) | 900,000ウォン | 1個当たり |
| 一般補綴 / 臼歯部の補綴 | 600,000ウォン | 1個当たり |
| セラミックインレー | 400,000ウォン | |
| レジン | 100,000~300,000ウォン | 治療部位による |
| インプラント | ||
| インプラント (ストローマン) | 2,000,000ウォン | 1個当たり |
| インプラント (DIO UV) | 1,300,000ウォン | 1個当たり |
| 全顎インプラント (ストローマン) | 20,000,000ウォン | |
| 全顎インプラント (DIO UV) | 17,000,000ウォン | |
| 拡張現実インプラント手術 | 500,000ウォン | |
| 歯槽骨移植術 / 上顎洞挙上術 | 500,000~1,500,000ウォン |
注記: 上記の料金は、診断・治療の難易度、患者様の傷病状態、治療方法および材料などによって多少増減変動することがあります。
施設紹介
1階






2階






3階






外観



| アメニティー・サービス | ||||
| 使い捨ての歯ブラシ | 歯磨き粉 | マウスウォッシュ | 個室 | WIFI |
| 基本情報 | |
|---|---|
| クリニック名 | デジタルアート歯科医院 |
| 住所 | 부산광역시 부산진구 부전로 79 동아빌딩 1~3층 釜山市 釜山鎮区 釜田路 79, 東亜ビル 1~3階 最寄り駅:西面(ソミョン)駅 7番出口から徒歩約5分 ・ロッテホテル釜山の裏口から徒歩約1分 |
| 電話番号 | 051-515-8267 |
| 予約・お問い合わせ | LINE ID :@digitalart_jp |
| 営業時間 | 月~金: 10:00 – 18:00 昼休み: 13:00 – 14:00 土曜日: 10:00 – 14:00(昼休みなし) |
| 休診日 | 毎週の日曜日・祝日 |
| 日本語対応 | プサンJMJが国際窓口を担当 |
| お支払い | ウォン、カード(JCB,visa,master,amex) |
| 交通 | 西面(ソミョン)駅7番出口から徒歩約4分、ロッテホテルから徒歩1分 |
| 関連サイト | ホームページ(日本語):https://jp.digitalartdc.co.kr/ ユーチューブ(韓国語) : https://www.youtube.com/channel/UCaaLHxXcv3mngxL9_YkLklQ |
オフィスホワイトニングをお受けになった方へ
輝く白い歯を長く保ち、快適にお過ごしいただくための大切なポイントです。
1. 施術後のお食事について
ホワイトニング剤が歯に浸透しているため、施術後2時間は、お食事をお控えください。
(お水は、いつでもお飲みいただけます。)
2. 色の濃い飲食物は「48時間」お休みしましょう
施術後の歯は、一時的に外部の色を吸収しやすい状態です。特に下記の飲食物は、再着色の原因となりますので、48時間はできるだけ避けるようお願いいたします。
- 飲み物:コーヒー、紅茶、赤ワイン、色の濃いジュース類など
- 食べ物:カレー、キムチ、チョコレート、醤油や味噌、ソース類の調味料など
もし召し上がった場合は、なるべく早く歯を磨くか、お水で口をゆすぐことをお勧めします。
3. 知覚過敏(歯がしみる症状)について
- 一時的な症状:施術後、一時的に歯がしみることがあります。これは薬剤が作用している正常な反応で、通常1~2日で落ち着きますのでご安心ください。
- 痛みが強い場合:もし痛みが気になる場合は、市販の鎮痛剤(タイレノールなど)を服用いただいても問題ありません。
- 酸性の飲み物は避けて:炭酸飲料やスポーツドリンク、柑橘系のジュースは、しみる症状を誘発しやすいため、症状が落ち着くまではお控えください。
4. ご注意いただきたいその他の症状
- 歯茎の変色:稀に薬剤の反応で歯茎の一部が白くなることがありますが、1〜2時間で自然な色に戻ります。
- 白さのムラ:施術直後は、歯の水分量が一時的に変化するため、白さにムラがあるように見えることがあります。数日で歯の状態が安定し、均一で自然な白さになります。
5. 効果を長持ちさせるために
喫煙は、歯の着色(ヤニ)の大きな原因となります。ホワイトニングの効果を最大限に活かすため、施術後の喫煙はお控えいただくことを強くお勧めします。
【TIP】白さをキープする歯磨き粉選びのポイント
オフィスホワイトニングの効果をより長くお楽しみいただくために、ご自宅で使用する歯磨き粉も重要です。
- ① コーティング作用のある歯磨き粉 歯の表面を滑らかにし、汚れや着色の再付着を防ぐ効果が期待できます。知覚過敏が気になる方にもお勧めですので、施術後の敏感な時期に特に効果的です。
- ② 美白効果のある歯磨き粉 毎日の食事で付着する表面的な着色汚れ(ステイン)を優しく除去し、白さを維持するのに役立ちます。
【おすすめの使い方】 施術後、歯が敏感になっている数日間はコーティングタイプの歯磨き粉を使用し、症状が落ち着いてから、毎日のケアとして美白歯磨き粉を併用すると、効果的に白さをキープできます。
※注意事項:上記はご参考までとし、実際の治療・術後の注意事項については担当医の指示に従ってください。

致接受冷光美白(診所美白)的顧客
為了能長久維持牙齒的亮白與健康,請留意以下術後保養重點:
1. 關於術後飲食建議
由於美白藥劑正在滲透作用,療程結束後的 2 小時內請先不要進食。 (期間內可以正常喝水。)
2. 48 小時內請避免深色飲食
美白後的牙齒會暫時變得容易吸收色素。為了防止牙齒重新染色,48 小時內請盡量避開以下飲食:
- 飲品: 咖啡、紅茶、紅酒、深色果汁等。
- 食物: 咖哩、泡菜、巧克力、醬油、味噌、各式深色調味醬料等。
- 小叮嚀: 若不慎食用,建議盡快刷牙或先用清水漱口。
3. 關於牙齒敏感(痠軟)症狀
- 暫時性症狀: 術後牙齒若有痠軟或敏感現象,是藥劑作用後的正常反應,通常 1~2 天內會逐漸緩解,請不必擔心。
- 若疼痛感明顯: 若感到不適,可以服用市售止痛藥(如:普拿疼 Panadol / 泰諾 Tylenol 等)。
- 避免酸性飲品: 在症狀緩解前,請避開碳酸飲料、運動飲料或柑橘類果汁,以免加重牙齒痠軟。
4. 其他術後可能出現的現象
- 牙齦變白: 極少數情況下,牙齦可能因藥劑反應而暫時發白,通常 1~2 小時後會自然恢復原色。
- 齒色不均: 術後因牙齒水分暫時改變,表面可能出現白斑或色澤不均。待幾天後水分穩定,牙齒便會呈現均勻自然的亮白。
5. 如何維持美白效果
吸菸是造成牙齒著色(菸垢)的主要原因。為了讓美白效果持久,強烈建議術後盡量避免抽菸。
【TIP】如何挑選維持美白的牙膏
選對居家護理牙膏,能讓您的美白效果更持久:
① 護理型(強化琺瑯質/抗敏感)牙膏 能平滑牙齒表面,預防污垢與色素附著。
② 美白型牙膏 能溫和去除日常飲食產生的表面色斑(茶垢、咖啡垢),有效維持潔白感。
💡 建議使用方式: 術後牙齒較敏感的前幾天,先使用**「護理型牙膏」;待敏感症狀消失後,再搭配「美白牙膏」進行每日清潔,即可達到最佳的維持效果。
※ 注意事項:以上內容僅供參考,實際情況請務必遵循主治醫師的專業醫囑。











